Dr. Rachita Jaiswal Oral and Dental Surgeon
Phone Number: +91 8853369876
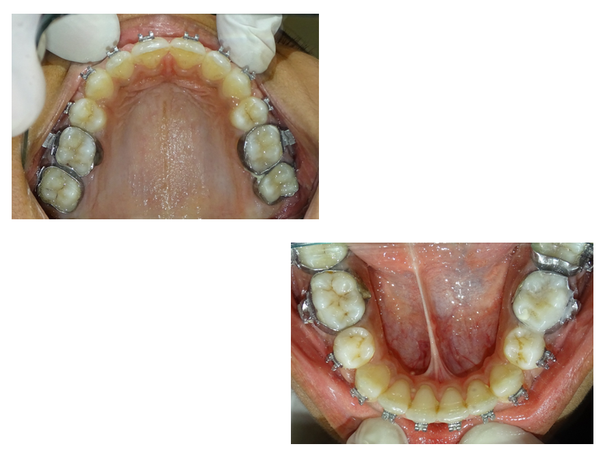
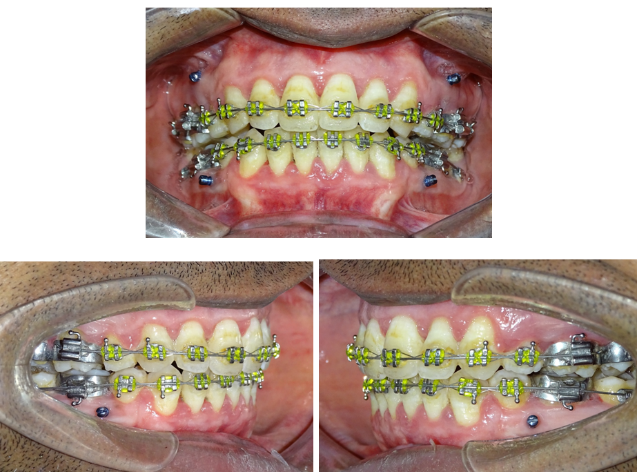
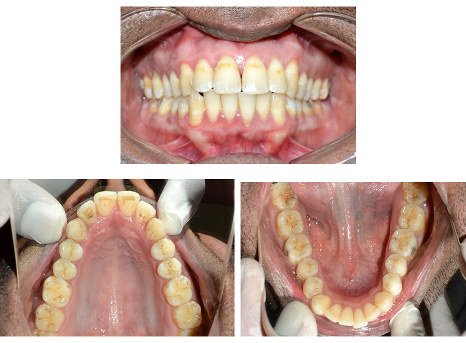
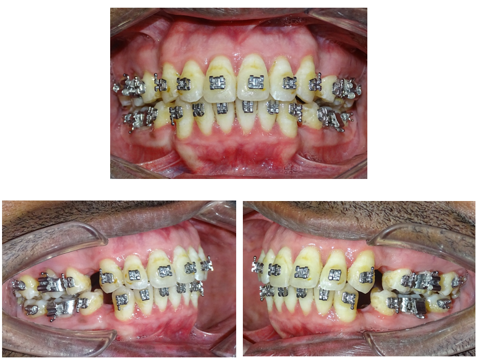
Case 1 Orthodentic Treatment
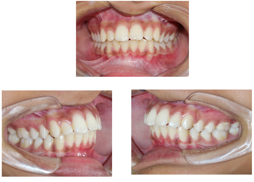
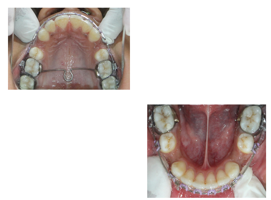
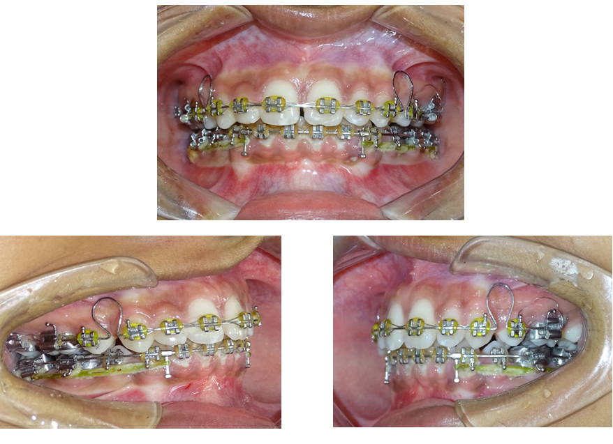
Case 2 Orthodentic Treatment