Full Mouth Rehabilitation
WHAT IS MOUTH REHABILITATION ?
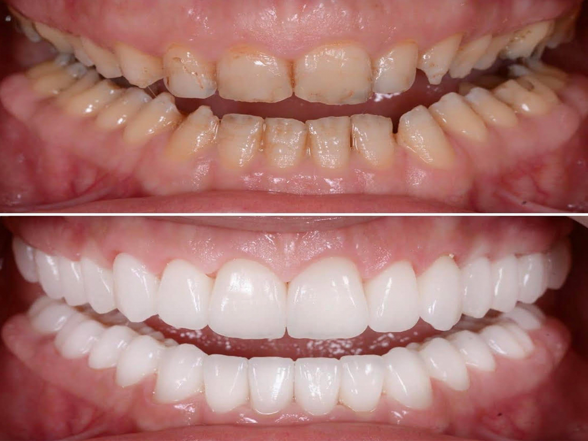
In general, any dental treatment that affects all teeth in the mouth is called full mouth reconstruction or full mouth rehabilitation.
What is Full Mouth Reconstruction?
Full mouth reconstruction, also called full mouth rehabilitation, is an extensive set of dental procedures intended to replace or rebuild many or all of a person’s teeth. These procedures are intended to provide significant functional and aesthetic improvements.
Who Needs Full Mouth Reconstruction?
Extensive reconstruction may be recommended due to the any of the following:
All of these issues can affect a person’s bite, appearance, and ability to use their teeth. Full mouth reconstruction intends to provide improvements in all of these areas.
How The Process Works
Here’s how the full mouth rehabilitation process works:
1. Consultation
To determine whether you’re a candidate for full mouth reconstruction, you’ll want to schedule an appointment with your dentist.
At your appointment, you and your dentist will discuss your needs and concerns. Together, you’ll establish your treatment goals.
Your dentist will review your records and conduct a thorough examination of your mouth. They’ll take into account:
2. Imaging and Modeling
Your dentist will also take records of your teeth. These may include:
This will allow them to get a full picture of your mouth before reconstruction. It will also allow them to develop a digital 3D mockup of how your mouth will likely look after treatment.
You’ll be able to evaluate the mockup, and your dentist can make adjustments based on your feedback. Then, you and your dentist will arrive at a final model for how your teeth should look and feel.
3. Creating the Right Plan
Once you’ve determined your goals and intended results, your dentist will make a treatment plan to get you there.
Full mouth reconstruction can include multiple kinds of procedures, including:
4. Treatment
Treatment may take place in multiple stages. Your dentist may provide each of the treatments you need over the course of several appointments.
These appointments may be spread out over several weeks or months. Some treatments, such as implant placement, may require time to heal before moving on to the next procedure.
At the end of treatment, you and your dentist will compare your before images to your new restoration. You’ll make sure that you’ve achieved the intended results and adequately addressed your needs.
You may have follow-up appointments to check on your restorations and assess your recovery.
